症例紹介
- HOME
- 症例紹介
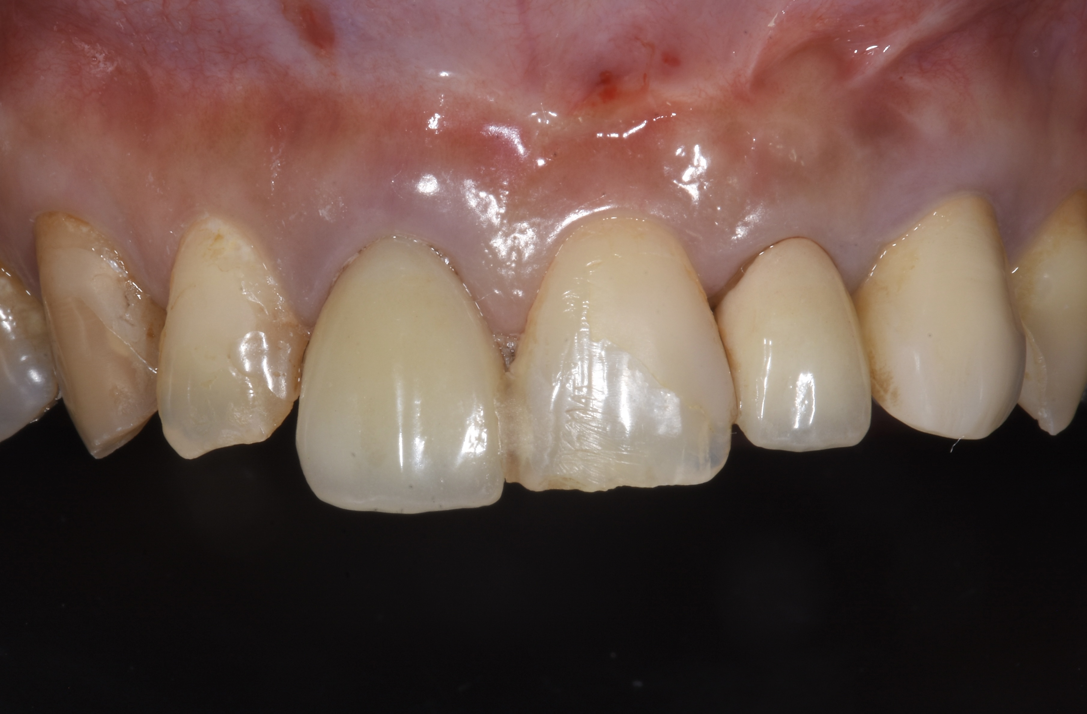
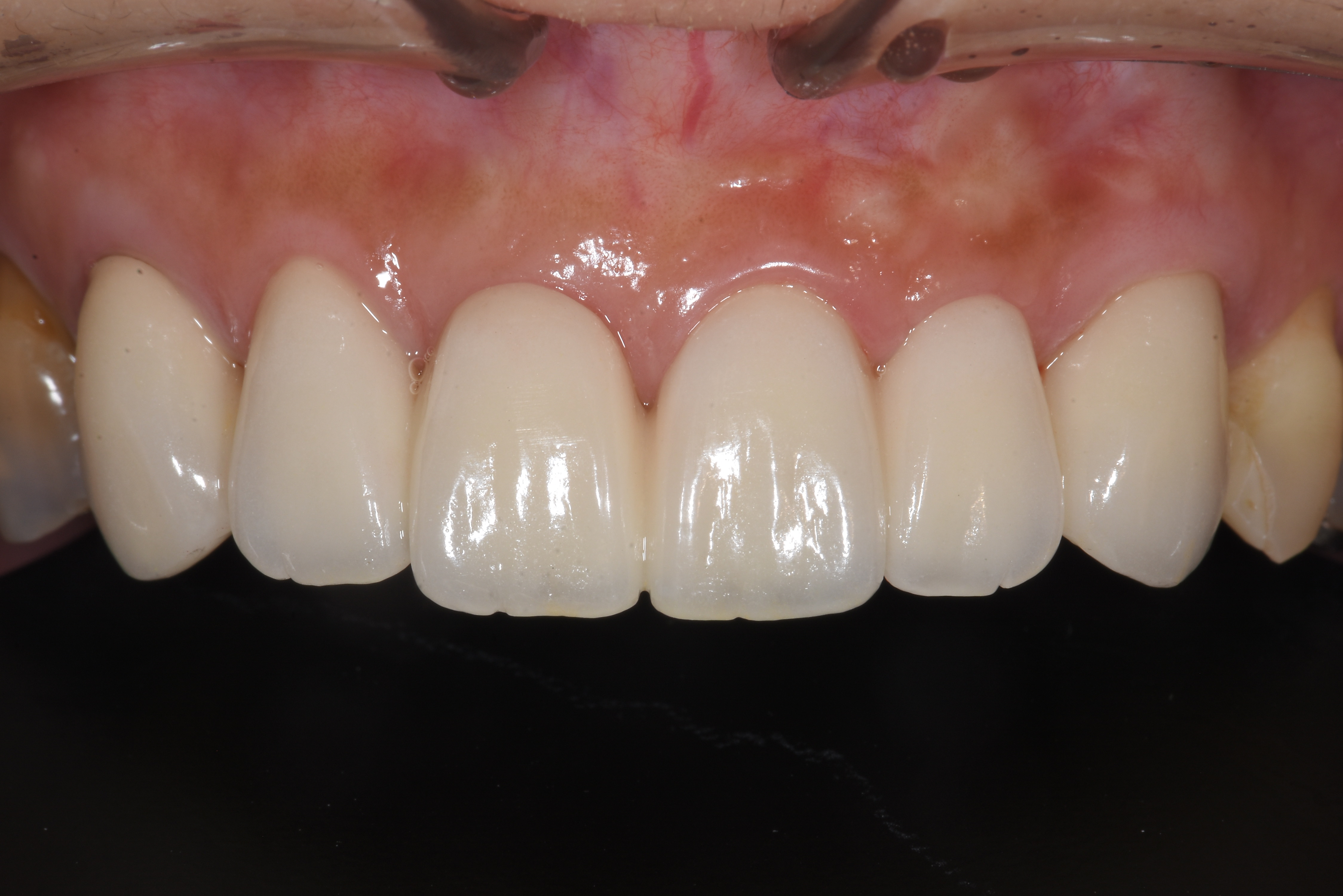
症例1(ジルコニアクラウン)
| 症例名 | ジルコニアクラウン |
|---|---|
| 年齢 | 53歳 |
| 性別 | 女性 |
| 主訴 | 前歯の見た目を治したい |
| 診断名 | 上顎前歯部の重度カリエス |
| 抜歯の有無 | なし |
| 治療の概要 | 多数の歯が重度の虫歯に罹患していたため、適切な虫歯治療と、歯周病治療を並行して行いました。被せ物はジルコニアクラウンを選択し、主訴である見た目も良好に改善しました。 |
| 治療回数 | 4回 |
| 治療期間 | 2カ月 |
| リスク・副作用 | 治療期間を通して仮歯を装着します。 仮歯は割れたり、外れたりする可能性があります。歯を削る治療を行うので、術後に滲る症状が出る可能性があります。 歯の神経を取る治療が追加で必要な場合があります。 口腔内の状況によっては歯周外科処置が必要な場合があります。 |
| 費用 | 1,188,000円(税込) |
症例2(インプラント治療)
| 症例名 | インプラント治療 |
|---|---|
| 年齢 | 60歳 |
| 性別 | 女性 |
| 主訴 | 奥歯で噛めない |
| 診断名 | 広汎性慢性歯周炎 |
| 治療の概要 | 初診時奥歯が噛み合っていない状態で、前医で治療されたインプラントがインプラント周囲炎に罹患していました。適切な噛み合わせを確立するために既存インプラントの撤去と再度のインプラント埋入処置(4本)を行いました。当院でのインプラント治療により、良好な噛み合わせに改善することができました。 |
| 治療期間 | 1年6カ月 |
| リスク・副作用 | 外科処置に伴う術後疼痛が出る可能性があります。 口腔内の状況によっては、インプラント治療ができない場合があります。 インプラント治療に必要な骨量の確保のため、骨造成処置が必要な場合があります。 治療期間中は仮歯を使用します。食事の種類によっては仮歯の脱離や破折の可能性があります。 |
| 費用 | インプラント4本+ジルコニアクラウン3本 3,450,000円(税込) |
症例3(歯周再生療法)
| 症例名 | 歯周再生療法 |
|---|---|
| 年齢 | 43歳 |
| 性別 | 男性 |
| 主訴 | 右下奥歯の違和感 |
| 診断名 | 限局型慢性歯周炎 |
| 治療の概要 | 初診時、右下7番に違和感を訴えられていました。レントゲン検査にて、当該歯に限局した歯槽骨の欠損を認めましたので、歯槽骨の欠損に対し、骨補填材と再生材料(エムドゲイン)を使用した、歯周再生療法を適応しました。現在術後10年経過しておりますが歯槽骨の回復を認め、違和感は喪失し良好に機能しております。 |
| 治療期間 | 6カ月 |
| リスク・副作用 | 期待した骨の再生を認めない場合があります。 術後知覚過敏症状が出ることがあります。 再発する可能性があります。 口腔内の状態によっては適応できないことがあります。 |
| 費用 | 110,000円(税込) |
症例4 遊離歯肉移植術(インプラント併用)
| 症例名 | 遊離歯肉移植術(インプラント併用) |
|---|---|
| 年齢 | 65歳 |
| 性別 | 女性 |
| 主訴 | 右下で噛みたい |
| 診断名 | 咀嚼障害 |
| 治療の概要 | 右下の臼歯部が欠損していたため、インプラントを用いた咬合再構成を行なっております。 インプラント周囲に角化歯肉が不足していたため、上顎から歯茎を採取し、インプラント周囲に移植を行うことで角化歯肉の増大を行いました。 |
| 治療期間 | 6カ月 |
| リスク・副作用 | 移植片が生着しない場合があります。 出血、疼痛が2、3日持続する可能性があります。 経年的に移植片が収縮する可能性があります。 |
| 費用 | 60,000円~ |